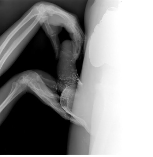
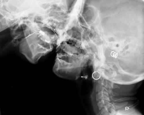
Serie «Radiografías» de Wim Delvoye
«… la radiografía produce la transparencia del cuerpo, es decir, del cuerpo sexuado, en principio. Sin embargo, esa captación de imágenes tiende esencialmente a lo que se encuentra fuera del sexo. Bajo la mirada de la medicina, los cuerpos se vuelven idénticos. La imagen radiográfica es la imagen indistinta. Reducido al esqueleto, el ojo experimentado distinguirá sin duda al hombre de la mujer, pero el movimiento de las imágenes médicas pretende volver el cuerpo uniformemente transparente, ir más allá de la identidad, a fin de que sólo diferencias patológicas surjan como opacidad singular. Es decir que bajo la mirada radiográfica no se exponen cuerpos, diversos, sino el cuerpo hmano, un cuerpo abstracto, vale decir, un corpse, como se dice en inglés. Un cadáver.

La radiografía reconduce al esqueleto, y a través del esqueleto abandonamos nuestro cuerpo y retornamos a la especie. De esa manera, el encuentro de los sexos en radiografía adquiriría un aspecto de danza macabra. El hecho de que las imágenes médicas tiendan a lo fuera del sexo vuelve aún más notable y divertido el hecho de que la primera imagen obtenida por Wilhelm Röntgen haya sido la de una mujer. La ciencia se pone así de entrada al servicio del develamiento de una mujer. Momento de erotismo moderado, hay que decir que la primera imagen por rayos X de un cuerpo obtenida por Röntgen fue, no la de una mujer, sino la de su mujer; para más precisión, la de su mano. Primera imagen médica por rayos X obtenida el 22 de diciembre de 1895. Nos preguntamos qué tendría Röntgen en su cabeza cuando decidió radiografiar la mano de su mujer, qué verdad estaba buscando en ella. El interés de esta imagen supera incluso su importancia científica, porque lo que se ve primero en la radiografía de la mano de su esposa, la gruesa imagen del interior del cuerpo de una mujer va a revelar es, en resumen, la presencia de un hombre, más exactamente de un marido: un marido científico para quien ella no podría tener ningún secreto. Gracias a un rayo penetrante, una imagen viene a explorar el continente negro de la feminidad. El secreto del continente negro de una mujer que esa imagen vuelve visible, es su hombre.
[…] Cuando el artista belga Wim Delvoye realiza imágenes por rayos X de un beso o de actos sexuales, imágenes X por medio de rayos X, no hace otra cosa que apropiarse estéticamente de técnicas científicas a veces de punta, reintroduce la «skiagrafía», excluida antiguamente por la filosofía, y, en la ciencia, lo concerniente al acto sexual, que ella excluye.
[…] ¿qué hace que el mostrar todo del arte no participe de la política global del Ver Todo? La razón está en que lo que el arte muestra es la fractura entre mostrar todo y todo visible. Mostrar todo no significa ver todo. Por el contrario, se trata de mostrar que no todo se puede ver. No mobiliza al arte ninguna fantasía TV, ninguna reducción de lo real a la imagen. La tarea de los artistas equivale a exponer las ilusiones de la civilización de la mirada. El exponer la hiper-intimidad científica del cuerpo, estas imágenes de artistas constituyen en verdad una respuesta crítica a la fantasía cientificista de transparencia, que es también la de una verdad infalsable.
[…] Tales imágenes científicas advierten de los deseos de la ciencia y sus pretensiones de producir un sujeto enteramente identificable, enteramente cognoscible, es decir, también, enteramente predecible.
El motor de esta pretensión de la policía científica es la idea fija que moviliza el discurso de la ciencia: objetivar al sujeto, Objetivar la subjetividad es, irremediablemente, dejar escapar al sujeto, dejar escapar lo más íntimo. Existe una opacidad irreductible que la ciencia no ve, que ella aparta, que ella rechaza. Es el fermento de una ideología de la ciencia.
Podríamos evocar dos imágenes radiográficas de Wim Delvoye. Estas imágenes tomadas por rayos X, clasificables en la góndola de las imágenes X, poseen una fuerza de verdad extrema. Sin embargo, no donde uno cree, no donde uno ve. Al mostrar un beso o una felación, son para verlas, desde luego, como toda imagen, pero ellas muestran lo que no se ve a simple vista, el interior de los cuerpos en actividad. Ellas nos sitúan en un tiempo posterior al cine pornográfico. El valor del surgimiento del cine pornográfico, si ese valor existe, es en el fondo, haber mostrado algo, una parte de la anatomía que el cine jamás había mostrado, los órganos sexuales en actividad. Las imágenes de rayos X, al ir más allá de la anatomía, van más lejos: van al sexo bajo la piel. Por otra parte, si bien tales imágenes cumplen el sueño de la cámara pornográfica de mostrar desde lo más cerca posible, esto no produce exactamente una mayor excitación sexual. En verdad, las imágenes de Wim Delvoye tienden a mostrar una cosa que no se había visto nunca: cómo funciona el sexo. Sin embargo, debería decirse más bien que lo que estas imágenes muestran, es que no se lo ve. Más aún, que lo normal es que no se lo vea.
Es posible fotografiar el funcionamiento íntimo de los órganos sexuales, movilizar con ese fin la ciencia y las técnicas más sofisticadas, y sin embargo no se habría de brindar con ello el secreto del sexo, de cómo funciona el human desire y la asombrosa máquina de los sexos, cuyos planos nadie posee.

[…] Para más exactitud, yo diría que estas imágenes de rayos X, que es posible reunir con el dibujo anatómico de Leonardo en el que se representa el corte de un coito muestran sobre todo que hay algo que no se puede ver: cómo funciona el amor, cuál sería el secreto del sexo. Tal es su dimensión crítica. Ellas se dirigen también a los médicos y a todos para decir que la búsqueda de la transparencia del cuerpo es una fantasía, porque hay algo que jamás se podrá ver ni saber, y por lo tanto dominar: la relación sexual. Pueden ustedes radiografiar el cuerpo, autopsiar el cuerpo, volverlo todo lo transparente que quieran, pero jamás verán con sus ojos el secreto de la relación sexual; o mejor dicho, jamás verán la única verdad que hace saltar los ojos: que no hay nada que ver, que no hay secreto. Esto es lo que, al fin de cuentas, resiste definitivamente a la voluntad del amo de que «eso funcione».
“El ojo absoluto” de Gérard Wajcman
—
Ver también: HISTORIAS DE DESVELAMIENTO (i)
—




